当前位置:首页 > 研究领域 > 其他

Nature子刊:重庆医科大学联合中山大学揭示NPM1 乳酸化驱动铁死亡机制,破解肾移植DGF难题

维真生物客户文章分享-AAV的应用

肾移植是终末期肾病患者改善生活质量、延长生存期的较优选择,然而,移植肾的缺血再灌注损伤(IRI)在器官的获取、储存和移植过程中是不可避免的,是造成移植肾功能延迟(DGF)和移植失败的重要原因。铁死亡加重肾脏缺血再灌注损伤,并驱动延迟移植物功能,但其中涉及的代谢-表观遗传调控机制尚未明确。

2025年12月5日,重庆医科大学附属第一医院李心远、何卫阳、李杰团队联合中山大学孙逸仙纪念医院林天歆、钟文龙团队在Nature Communications(IF 15.7)上发表了题为“Nucleophosmin 1 lactylation in graft kidney induces ferroptotic trigger waves that exacerbate delayed graft function”的文章,研究揭示了一条驱动铁死亡传播的代谢-表观遗传轴,并提出NPM1乳酸化可作为治疗DGF的治疗靶点。

· 维真助力 ·

基因信息 Aars:丙氨酰-tRNA合成酶1;Slc16a3:溶质载体家族16成员3
病毒产品 AAV9-KSP1.3-shAars1、 AAV9-KSP1.3-shSlc16a3
实验动物 6周龄雄性C57BL/6小鼠
注射方式 尾静脉注射
注射剂量 2.8×1011vg/mouse

研究结果


1、IR-RC分泌的乳酸通过抑制正常RC群的cystine/cysteine/GSH代谢促进铁死亡传播

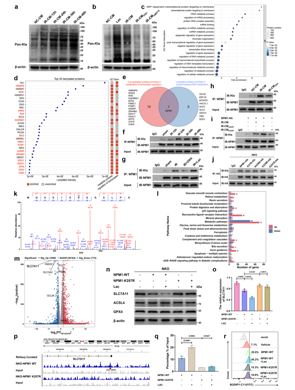
作者对原位肾脏IRI小鼠模型的受损肾脏进行了代谢组学分析,发现糖酵解终末代谢物乳酸在再灌注过程中呈时间依赖性增加。通过分析临床肾移植受者的尿乳酸浓度,在术后第2天和第7天,发生肾移植受者的尿乳酸浓度显著高于未发生肾移植的受者。以上证实了乳酸是肾脏IRI和DGF的关键介质。铁死亡会加重肾脏的IRI和DGF,在IRI患者的肾脏中,伴随着糖酵解和乳酸合成的上调,铁死亡也增加。草酸钠抑制糖酵解显著减少了IRI肾脏的铁死亡,并恢复了下降的肾功能,而乳酸治疗则进一步导致铁死亡和肾功能恶化。通过铁死亡抑制剂抑制铁死亡,可中和乳酸诱导的肾损伤。缺血再灌注损伤的肾小管上皮细胞(IR-RC)通过糖酵解产生大量乳酸,在相邻的正常RC群体中触发铁死亡。抑制乳酸生成和MCT4/MCT1介导的乳酸穿梭有效地阻断了铁死亡的增殖,改善了肾脏IRI。机制研究发现,乳酸穿梭触发的铁死亡是由于抑制了正常HK-2细胞的cystine/cysteine/GSH代谢所致。

图1. 乳酸穿梭抑制cystine/cysteine/GSH代谢并诱导铁死亡传播

2、乳酸诱导的NPM1赖氨酸257位乳酸化通过抑制SLC7A11的表达诱导正常RC铁死亡

肾移植过程中的转录组学测序分析发现lncRNA IGIP-5在IRI肾脏中以时间依赖的方式上调,实验表明lncRNA IGIP-5通过竞争相互作用抑制miR-670-3p,从而促进乳酸脱氢酶A(LDHA)的表达。在IRI的肾脏中,整体乳酸化水平呈时间依赖性增加,这与乳酸上调的趋势一致。IR-RC条件培养液(IR-CM)显著增强了正常HK-2细胞中的整体乳酸化,进一步乳酸化组学分析鉴定NPM1是一种强乳酸化蛋白,连接cystine/cysteine/GSH代谢和转录调控。赖氨酸257(K257)上的突变导致NPM1乳酸化的急剧抑制,提示K257是NPM1上的一个关键乳酸化位点。为阐明NPM1-K257乳酸化的转录调控功能,作者构建了NPM1敲除的HK-2细胞,随后用野生型NPM1或K257R突变体进行重建。RNA测序分析差异表达基因在铁死亡和代谢通路中富集。在铁死亡相关的差异表达基因中,SLC7A11在重建了野生型NPM1的敲除细胞中表现出显著的下调。NPM1可结合SLC7A11启动子,且该结合被乳酸钠增强,这种结合被乳酸化缺陷的K257R突变显著降低。以上发现表明乳酸通过诱导NPM1的乳酸化和抑制SLC7A11的表达来触发铁死亡的传播。进一步研究表明,乳酸转移酶AARS1可以与NPM1相互作用并促进NPM1的乳酸化,下调AARS1主要可通过抑制NPM1乳酸化来阻断正常RC中的铁死亡传播。

图2. 乳酸诱导的NPM1赖氨酸257位乳酸化通过抑制SLC7A11表达诱导正常RC铁死亡

3、抑制RC中乳酸转移诱导的NPM1乳酸化可阻断铁死亡并改善移植肾功能

作者进一步研究了条件性敲除AARS1和SLC16A3(MCT4的编码基因)是否可以改善移植肾模型小鼠肾脏的IRI和DGF。通过草氨酸钠处理和SLC16A3-CKO来抑制乳酸生成与转移,对移植肾的形态和功能损伤均显示出保护作用。利用AAV9-KSP1.3-shRNA在RC中敲低AARS1同样能减轻IRI并改善肾功能,重要的是,草酸钠和AAV9-KSP1.3-shRNA对铁死亡的调节作用与移植肾组织的形态和功能变化基本一致。以上数据表明乳酸代谢受损以及减少肾小管上皮细胞中AARS1介导的乳酸化,能显著抑制移植肾中的铁死亡传播和IRI。进一步体内研究也证实了抑制乳酸来源的NPM1乳酸化可阻断移植肾组织中的铁死亡传播并改善移植肾功能。通过分子对接和人工智能辅助药物筛选,发现牛磺鹅去氧胆酸(TCDCA)可特异性结合NPM1,通过抑制NPM1 K257乳酸化和阻断铁死亡传播来减轻肾脏IRI并改善肾功能,为进一步的临床前和临床验证提供了一个潜在策略。

图3. 乳酸穿梭在肾组织微环境中触发铁死亡,并通过诱导NPM1乳酸化而加重移植肾IRI

结论


本研究揭示了乳酸穿梭是调节移植肾IRI过程中铁死亡传播的关键因素。术后早期尿乳酸升高是反映IRI严重程度和DGF风险的无创性指标。机制上,AARS1介导的NPM1乳酸化是乳酸穿梭介导铁死亡传播的关键表观遗传事件,TCDCA靶向NPM1乳酸化可改善移植肾功能。这些发现扩大了对肾脏IRI中铁死亡的理解,并提出了一种早期预测模型和治疗策略。

试用装免费申请

备案号:鲁ICP备13011878号    网址:www.wzbio.com.cn

丨免费试用装丨