Cell Reports:段亚君/陈厚早/陈元利研究团队联合揭示胆固醇代谢调节机制
文章标题:Nogo-B inhibition facilitates cholesterol metabolism to reduce hypercholesterolemia
发表期刊:Cell Reports (IF 7.5)
合作客户:中国科学技术大学段亚君 、北京协和医学院陈厚早、合肥工业大学陈元利研究团队

研究背景
高胆固醇血症是代谢综合征和冠状动脉疾病的主要危险因素,其特征是血清中胆固醇水平高。肝脏是胆固醇代谢的主要部位,肝脏中胆固醇代谢异常会直接破坏肝脏和血液中胆固醇水平的稳态,引发一系列相关疾病。Nogo-B是唯一在血液循环和肝脏中检测到的Nogo成员,参与多种代谢过程和疾病,多项研究表明Nogo-B参与甘油三酯(TG)代谢,然而,Nogo-B在胆固醇代谢和相关代谢疾病中的作用目前尚待阐明。
研究结果
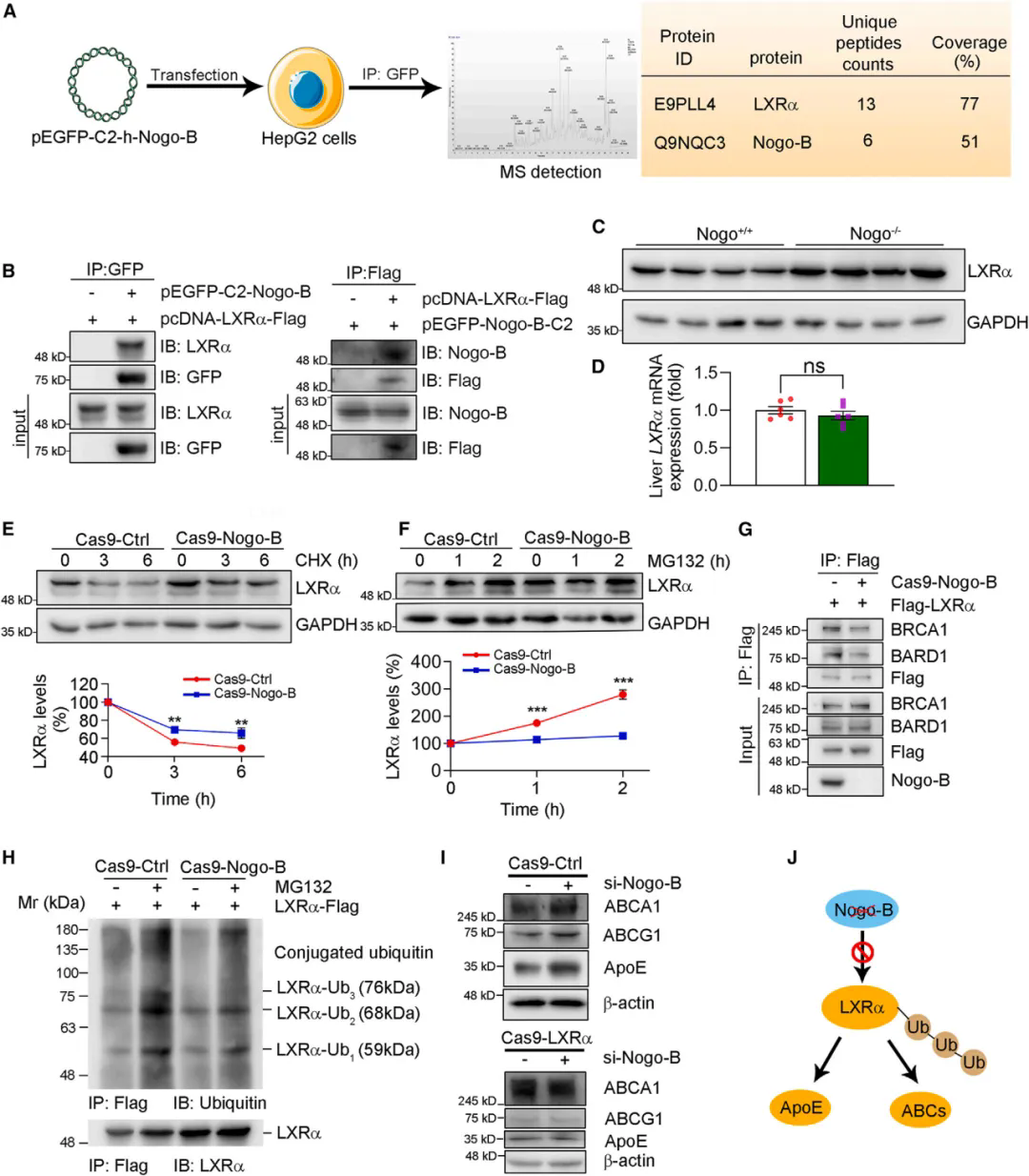
1、Nogo-B参与胆固醇代谢并促进LXRa的降解
研究发现,Nogo-B与人类和小鼠胆固醇水平的变化有关,Nogo-B缺乏通过增强ApoE、LDLR和ABCs的表达来促进胆固醇代谢,从而降低胆固醇水平;然而在ApoE-/- 和LDLR-/-小鼠中,Nogo-B缺乏改善高脂血症的益处受到损害,表明Nogo-B缺乏对胆固醇代谢的改善可能需要ApoE和LDLR的存在。利用质谱分析和coIP筛选并确定了Nogo-B与LXRa之间存在相互作用,并且Nogo-B参与LXRa的转录后调控而非转录调控。使用MG132(蛋白酶体抑制剂)而不是3-甲基腺嘌呤(一种自噬抑制剂)处理HepG2肝细胞,可以消除Nogo-B缺乏引起的LXRa蛋白升高,说明蛋白酶体介导的降解而非自噬途径参与了LXRa蛋白的稳定性,进一步分析证实Nogo-B缺乏抑制泛素介导的LXRa降解。
Nogo-B缺乏通过增强LXRa蛋白的稳定性来激活LXRa
2、在LXRa配体治疗下,Nogo-B缺乏降低胆固醇水平而不增加TG水平
为探讨Nogo-B缺乏是否可以拮抗LXRa激活引起的脂肪生成,研究团队使用LXRa激活配体T317治疗NC喂养的Nogo+/+和Nogo-/-小鼠,发现T317降低了Nogo-B缺乏小鼠的胆固醇水平,阻断了血清TG水平的升高,表明在LXRa配体治疗下,Nogo-B缺乏进一步降低胆固醇水平,但不会增加TG水平。接下来,研究团队探讨了Nogo-B是否调节动脉粥样硬化斑块的形成,结果显示Nogo-B缺乏是ApoE和LDLR发挥其抗高胆固醇血症和抗动脉粥样硬化斑块特性所必需的,在ApoE和LDLR存在的情况下,抑制Nogo-B表达具有更好的抗动脉粥样硬化斑块作用。此外,Nogo-B抑制显著降低了ApoE+/-LDLR+/-小鼠的血清TC和LDL-C水平,但升高了HDL-C水平,通过抑制Nogo-B,肝脏胆固醇含量降低,粪便胆固醇水平升高。
Nogo-B抑制降低ApoE+/-LDLR+/-小鼠的病变和胆固醇水平
3、抑制肝脏Nogo-B可降低胆固醇水平
为进一步证实Nogo-B在调节肝脏胆固醇代谢中的作用,研究团队静脉注射AAV8-TBG-shNogo-B以抑制小鼠肝脏中Nogo-B的表达。肝脏Nogo-B抑制表现为血清TC、LDL-C降低和HDL-C水平升高;与血脂水平一致,Nogo-B抑制降低了肝脏胆固醇水平,同时激活了LXRa、FXR、ApoE、abc、SREBP2和LDLR的表达,最终,由于胆固醇排泄的激活,Nogo-B抑制小鼠粪便中的胆固醇水平升高,这些发现表明,肝脏Nogo-B在降低胆固醇水平方面起着至关重要的作用。最后,通过收集正常个体及动脉粥样硬化患者的血液样本,发现动脉粥样硬化患者的胆固醇水平更高且这些患者的血浆Nogo-B水平比正常志愿者高约1.7倍,一系列分析证实Nogo-B与人血浆胆固醇水平密切相关,并与人胆固醇代谢异常和ASCVD相关。
抑制肝脏Nogo-B可降低胆固醇水平
实验结论
研究结果阐明了Nogo-B调节胆固醇代谢的机制,Nogo-B缺乏/抑制同时促进肝脏摄取胆固醇和胆固醇排泄,抑制Nogo-B可降低小鼠动脉粥样硬化斑块和胆固醇水平,并且Nogo-B水平与人血浆中的胆固醇水平相关。本研究报告了一种通过抑制Nogo-B表达促进肝脏胆固醇摄取和胆固醇排泄来降低胆固醇水平的策略。